Fedtvævets hemmeligheder: Hvad ny teknologi lærer os om vores sundhed
Fedtvævets hemmeligheder: Hvad ny teknologi lærer os om vores sundhed
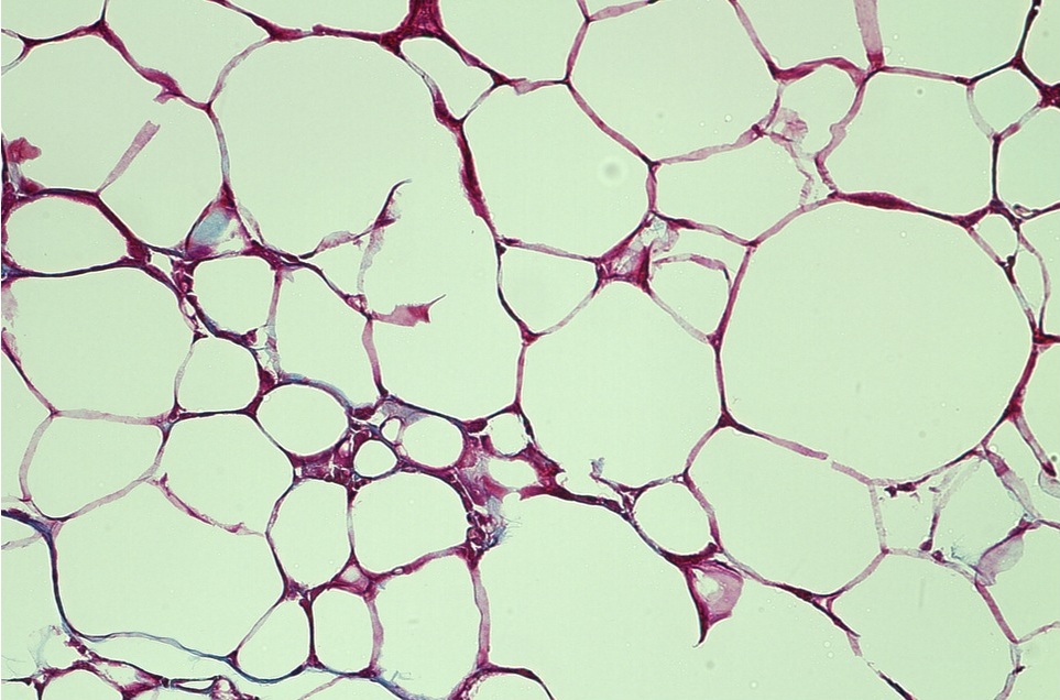
Fedtceller er en slags depotceller, som oplagrer overskydende næring. Samtidig spiller de en afgørende rolle for reguleringen af bl.a. appetit, stofskifte, fertilitet, immunsystemets funktion og meget mere.
Fedtceller findes i udvalgte fedtvævsdepoter i kroppen, hvor deres funktion er påvirket dels af ydre påvirkninger, som f.eks. livsstil, dels af de mange andre forskellige celletyper i fedtvævet. For at forstå fedtcellernes funktion, er vi derfor nødt til at forstå deres kontekst.
Dette foredrag dykker ned i det komplekse samspil, der regulerer fedtcellers egenskaber.
Takket være de nyeste enkeltcelleteknologier kan vi undersøge og forstå både den enkelte celle og samspillet mellem cellerne. Det giver et helt nyt indblik i mekanismerne for, hvordan stamceller udvikling sig, og hvordan sygdomme opstår og kureres. Kom og følg, hvordan vi med de nyeste teknologier bliver klogere på mekanismerne, der regulerer funktionen af vores vigtige fedtvæv.


Foto: Susanne Mandrup
Om forskeren
Susanne Mandrup er professor i molekylær biologi og centerleder ved Syddansk Universitet med en speciel interesse for de mekanismer, der regulerer udtrykket af vores gener. Hun har siden sit postdoc-ophold i USA været fascineret af fedtceller.
Hendes gruppe var blandt de første til at anvende moderne sekventeringsteknologier, hvilket for snart 20 år siden gjorde det muligt for dem som de første at studere aflæsningen af alle gener på én gang i fedtceller. I dag leder hun grundforskningscentret ATLAS, som bl.a. anvender enkeltcelle-teknologier til at forstå de molekylære og cellulære mekanismer i fedtvævet.
Carlsbergfondets økonomiske støtte til Videnskabernes Selskab muliggør, at Selskabet kan tilbyde disse foredrag.
Spørgsmål


Birgit Olsen
Programkonsulent

